5.2.2 情绪的中枢神经系统反应模式
不同基本情绪的EEG脑波激活模式
情绪活动可以引发大脑皮质电活动的变化,早期研究主要集中在30Hz以下的低频成分。
θ波节律涉及到情绪和认知的加工。Stenberg(1992)让被试想象自己过去的愉快和不愉快及中性事件,发现相比于想象中性事件,右侧额叶θ活动增强及枕叶β活动变化(愉快条件下增强,不愉快条件下降低)。Stenberg进一步发现与情绪加工有关的θ活动主要定位在一侧额区,反映了情绪刺激边缘加工的不对称性。Sammler等(2007)发现,愉快音乐相比于不愉快音乐在诱发情绪时,额中(frontal midline,fm)的θ波活动增强,表明额中θ波调节情绪加工。
情绪的EEG研究中,多数考察额叶、颞叶和顶叶8—13Hz的α频带,发现情绪负荷可能与左右额叶和前颞叶的α波活动有关。EEG研究情绪假设,当某一皮质区的8—13Hz的α波活动增强时,则意味着该区域的皮质活跃性减弱。因此,当某个脑区的的α波振幅减小,即能量值降低时(去同步化过程),该脑区会发生更为强烈的与情绪有关的活动。Schmidt和Trainor(2001)通过EEG首次发现额区α波(8—13Hz)活动能够区分情绪效价(valence)和情绪强度(intensity:intense vs. calm)。他们采用音乐诱发情绪方法诱发被试开心、愉悦、悲伤和害怕情绪,发现听正性情绪的乐曲时,左前额会产生较强的脑电活动,而听负性情绪的音乐时,右前额则产生较强的脑电活动,前脑可能与情绪加工存在关联。进一步发现,尽管额区EEG活动的不对称性并不能区分情绪强度,但发现额区EEG活动在情绪间呈现递减趋势,其排列为害怕>开心>愉悦>悲伤。Sarlo等(2005)让被试观看手术场景、蟑螂、人类打斗和自然风光等四段影片,诱发被试的中性和负性情绪,发现负性情绪被诱发时α波频段活动较强,且右后脑会产生强烈的脑电活动。
β波活动,特别是颞叶的β波活动可能涉及情绪加工。Ray和Cole(1985)发现,负性情绪与正性情绪相比,颞叶的β(16—24Hz)活动更强烈。Schellberg等人(1990)发现,正性情绪与负性情绪相比,右侧颞叶有较大的β(26—45Hz)激活。Crawford,Clarke和Triolo(1996)把β波活动分为更细的几个波带:β13(13.5—16.45Hz)、β16(16.6—19.45Hz)、β19(19.5—25.45Hz)、β31(31.5—37.45Hz)、β40(37.4—41.7Hz)。研究发现,β13出现在额区和中央区,睡眠时相比清醒时情绪的大脑不对称性更大;在额区、中央区和枕区,快乐比悲伤在高β频带上激活更显着,β19在额区引起更大激活,β25在快乐时右顶叶比左顶叶的激活更强烈;在两种情绪中,β40在右中央和顶区也有显着激活。
对高频成分的研究是在40Hz节律与刺激及事件的同步性研究获得重大发现后,γ节律(30—65Hz)在情绪研究方面也有许多重大发现。Müller等(1999)等让被试观看情绪性图片,并把γ波细分为三段更窄的频带:γ-40=30—50Hz,γ-60=50—70Hz,γ-80=70—90Hz,分析发现被试观看负性情绪图片时,左半球γ波能量比右半球能量高;而呈现正性图片时,右半球γ-40能量比左半球高,并且右半球γ-40在正负性情绪刺激下的频率都高于中性刺激(Müller等,1999)。Keil等(2001)采用129导的EEG设备采集10名被试观看IAPS图片系统的图片,对不同情绪刺激下的GBA(Gamma band active)进行分析,他们发现与中性图片相比,在80ms左右负性图片刺激下出现早γ波(30—45Hz)活动增强,而500ms左右发现正性和负性图片刺激下晚γ波(46—65Hz)活动都显着增强,且晚γ主要激活在大脑右半球。Keil等主张早γ节律可以作为检测负性情绪的指标之一,晚γ节律则可以反映大脑皮层对情绪视觉目标的处理。
国内学者贾静和刘昌(2008)的研究发现悲伤影片较多地激活了额区α波,愉快影片较多激活了枕区的α波,而δ、θ、β和γ的最大能量或最大能量对应的频率,在不同的脑区都受到情绪的显着影响。刘贤敏和刘昌(2011)使用中国古典音乐诱发被试情绪发现无论是在悲伤情绪还是愉快情绪下,δ波、θ波、α波、β波和γ波的能量都减弱,但减弱的脑区不同;悲伤情绪与愉快情绪相比,θ波、α波、β波能量增强,但增强脑区不同,δ波无差异,γ波能量在中央区减弱。
不同基本情绪的脑区激活模式
Lindquist等(2012a,2012b)分析了1990年1月至2007年12月期间发表的有关情绪加工和情绪体验的91项研究,发现情绪加工时的脑激活区不仅包括由内侧前额叶皮层(medial prefrontal cortex)、内侧颞叶(medial temporal cortex)、腹外侧前额叶皮层(ventrolateral prefrontal cortex)组成的默认网络(the default network)脑区,也激活了由脑岛,杏仁核和前扣带回(anterior cingulate cortex,ACC)组成的突显网络(salience network)以及腹外侧前额叶皮层的额顶网络(frontoparietal network)。情绪加工的脑机制如图5.4所示。

注:黄色、橙色、粉色和紫色区域为不同研究中得到的一致性脑激活区。OFC(orbitofrontal cortex:眶额皮层);DLPFC(dorsolateral prefrontal cortex:背外侧前额叶皮层);ATL(anterior temporal lobe:颞前叶);VLPFC(ventrolateral prefrontal cortex:腹外侧前额叶皮层);DMPFC(dorsomedial prefrontal cortex:背内侧前额叶皮层);aMCC(anteriormid-cingulate cortex:前中部扣带回);sACC(subgenual ACC:膝下前扣带回);Amygdala:杏仁核;pACC(pregenual anterior cingulate cortex:前扣带回前膝部)。
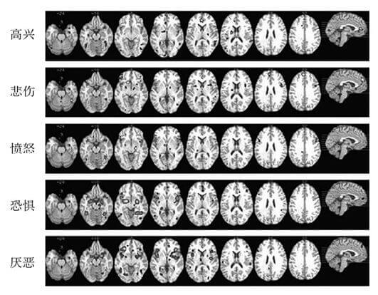
Vytal和Hamann(2010)采用激活似然估计(activation likelihood estimation,ALE)元分析方法,分析以往脑成像的多项研究,发现五种(高兴、悲伤、愤怒、恐惧、厌恶)基本情绪各自存在特异性的激活脑区,同时两两间也存在显着的区别脑区,如图5.5所示。ALE脑区激活一致性分析发现,高兴情绪激活9个重要集群,其中最大集群(4880mm3)位于右侧颞上回(the right superior temporal gyrus,STG);悲伤情绪激活35个重要集群,其中最大集群(3120mm3)位于左额内侧回(the left medial frontal gyrus,medFG);愤怒情绪激活13个重要集群,其中最大集群(2408mm3)位于左侧额下回;恐惧情绪激活11个重要集群,其中最大集群(5616mm3)位于左侧杏仁核;厌恶情绪激活16个重要集群,最大集群(14208mm3)位于右侧脑岛和右侧前额下回。ALE脑区激活辨别力分析发现,高兴与悲伤情绪相比,高兴情绪存在于4个显着激活的重要集群,最大集群(424mm3)位于STG,而悲伤情绪存在于12个显着激活的重要集群,最大集群(2536mm3)位于右侧颞中回;高兴与愤怒情绪相比,高兴情绪存在6个显着激活的重要集群,最大集群(1032mm3)位于扣带回左喙(left rostral ACC),而愤怒情绪存在6个显着激活的重要集群,最大集群(1536mm3)位于额下回(inferior frontal gyrus,IFG);高兴与恐惧情绪相比,高兴情绪存在6个显着激活的重要集群,最大集群(1592mm3)位于STG,而愤怒情绪存在11个显着激活的重要集群,最大集群(3192mm3)位于左侧杏仁核;高兴与厌恶情绪相比,高兴情绪存在4个显着激活的重要集群,最大集群(672mm3)位于扣带回左喙(left rostral ACC),而厌恶情绪存在11个显着激活的重要集群,最大集群(12008mm3)位于右侧壳核;悲伤与愤怒情绪相比,悲伤情绪存在18个显着激活的重要集群,最大集群(2280mm3)位于左侧额中回,而愤怒情绪存在3个显着激活的重要集群,最大集群(608mm3)位于右侧海马旁回(the right parahippocampal gyrus);悲伤与恐惧情绪相比,悲伤情绪存在14个显着激活的重要集群,最大集群(20840mm3)位于medFG,而恐惧情绪存在6个显着激活的重要集群,最大集群(2632mm3)位于左侧杏仁核;悲伤与厌恶情绪相比,悲伤情绪存在12个显着激活的重要集群,最大集群(1584mm3)位于右侧额下回,而厌恶情绪存在10个显着激活的重要集群,最大集群(6392mm3)位于左侧脑岛;愤怒与恐惧情绪相比,愤怒情绪存在4个显着激活的重要集群,最大集群(4784mm3)位于左侧额下回,而恐惧情绪存在11个显着激活的重要集群,最大集群(3688mm3)位于左侧壳核;愤怒与厌恶情绪相比,愤怒情绪存在4个显着激活的重要集群,最大集群(544mm3)位于左侧额下回,而厌恶情绪存在15个显着激活的重要集群,最大集群(10696mm3)位于右侧壳核;恐惧与厌恶情绪相比,恐惧情绪存在9个显着激活的重要集群,最大集群(2264mm3)位于左侧杏仁核,而厌恶情绪存在12个显着激活的重要集群,最大集群(2328mm3)位于右侧壳核。

来源:来自Vytal & Hamann(2010).
下面分别具体介绍在情绪加工过程中起重要作用的脑区及其它们的作用。
边缘系统(the limbic system)情绪较早期的研究发现,情绪受边缘系统的调节和控制。边缘系统是位于大脑半球到间脑并延伸到中脑的一个较大的、非均一的、最原始的神经结构,包括丘脑、下丘脑,海马和杏仁核。着名的Olds和Milner(1954)的动物按压杠杆实验采用颅内点刺激法证明了边缘系统是情绪体验产生的中心。刺激人的边缘系统也会产生类似的反应(Panksepp,1986)。随着研究手段和技术方法的革新,研究者对边缘系统在情绪体验中的作用聚焦到了杏仁核,LeDoux等(1990)首先发现了杏仁核在情绪中枢中的关键作用。LeDoux提出的情绪中枢连接结构突出了杏仁核在情绪反应中的关键作用,同时也对边缘系统其他部分在情绪反应中的功能进行了重新定位。
杏仁核杏仁核位于颞叶中部,与海马前部相连,是由至少13个具有复杂内外联系的子核组成的结构。以往诸多研究发现,杏仁核在情绪加工中起到了十分重要的作用,且被认为是恐惧情绪反应的中枢(LeDoux,1998;Pessoa和Adolphs,2010;王翠艳,刘昌,2007)。Costafreda等(2008)对2008年以前的385项PET和FMRI研究的元分析发现,杏仁核涉及愤怒、悲伤、高兴、惊奇等基本情绪的加工,但在恐惧、厌恶、悲伤等负性情绪下,杏仁核的激活程度比在开心等正性情绪下更强。杏仁核主要负责负性情绪如恐惧和焦虑等的加工(Kober等,2008;Lindquist和Barrett,2012;Lindquist等,2012;öhman和Mineka,2001;Paradiso等,1999)。Kluver和Bucy(1937)最早发现杏仁核受损的猴子不会回避危险刺激,失去了对危险刺激的恐惧反应。杏仁核受损病人的一些研究发现,杏仁核的主要功能是负责恐惧检测,杏仁核损伤的病人不能识别恐惧刺激,但对其他情绪刺激的识别却不受影响(Adolphs等,2005;Anderson和Phelps,2000,2001)。关于杏仁核参与恐惧情绪反应的机制,Ledoux(1993,2003)认为存在两条恐惧反射通路:一条是“低通路(low road)”;另一条是“高通路(high road)”,两条通路相互分离,同时发生。“低通路”是将刺激的感觉信息先传至丘脑,然后由丘脑直接传到杏仁核。这条通路绕过了皮层,对刺激信号进行的是粗糙加工,但是这条通路加工速度更快,可以保证对恐惧刺激做出迅速反应,这对人类和动物适应生存是非常重要的;“高通路”是丘脑在向杏仁核传递信息的同时也将信息输送到了扣带回和腹内侧额叶等皮层结构进行高级加工,该通路加工速度虽然稍慢但却比“低通路”的加工更全面更彻底,对刺激进行精细加工(LeDoux,2003;LeDoux,1993)。最近有研究者针对杏仁核的情绪加工通路,提出了从“低通路(low road)”到“多通路(many roads)”的假设(Pessoa和Adolphs,2010)。
下丘脑下丘脑位于第三脑室下部,视交叉后部,脑垂体上首。下丘脑与情绪有密切关系。对动物的实验证明,用微电极刺激动物(猫)的下丘脑腹内侧核,会引起动物强烈的情绪反应,产生明显的情绪性行为,如,愤怒而凶猛地扑向实验者。刺激动物下丘脑的不同部位,可观察到两种不同的情绪行为模式:①斗争或发怒,表现为吼叫、嘶叫、露爪、耳朵后侧、竖毛等;②逃避或恐惧,表现为瞳孔扩大、眼光扫来扫去、左右摇头、以至最后逃走。如果切除下丘脑以上(保留下丘脑)的全部脑组织,上述情绪反应仍然存在。可见,下丘脑是情绪及动机性行为产生的重要脑结构。美国心理学家奥尔兹等用“自我刺激”的方法,证明下丘脑和边缘系统中存在一个“快乐中枢”。实验者在老鼠的下丘脑背部埋上电极,另一端与电源开关的杠杆相连。老鼠只要按压杠杆,电源即接通,在埋电极的脑部就会受到一个微弱的电刺激。老鼠经过反复学习,逐渐形成了操作性条件反射。由于通过按压杠杆获得电流对脑的刺激,能引起快乐和满足,所以老鼠不断地按压杠杆,通过“自我刺激”来追求快乐。老鼠按压杠杆的频次可达每小时5000次,并能连续按压杠杆15~20小时,直到筋疲力尽、昏昏欲睡为止。如果在下丘脑以外的脑部埋下电极,则没有出现上述情形,或者快乐效果不明显。由此推断,老鼠的下丘脑中存在一个“快乐中枢”(Olds & Milner,1954)。
海马海马结构可以接受来自内嗅区,隔核,扣带回,灰被,下丘脑,丘脑前核,中缝核,蓝斑,脑干网状结构等纤维传入,传出主要是经由穹窿到乳头体,与许多皮质区和皮质下中枢发生联系。近来有研究认为海马在情绪行为的背景(context)调节中起关键作用,损伤后会在不适当的背景中表现出情绪行为,且其体积与特质焦虑等负性情绪呈正相关(Davidson,Jackson和Kalin,2000)。
网状结构网状结构位于脑干内部、两耳之间,是一种由白质和灰质交织混杂的结构,主要包括延髓的中央部位、脑桥的被盖和中脑部分。美国心理学家Lindsley(1951)指出:网状结构的功能在于唤醒,它是情绪产生的必要条件(Lindsley,1951)。网状结构靠近下丘脑部分,既是情绪表现下行系统中的中转站,又是上行警觉激活系统的中转站。网状结构靠近下丘脑部位接受来自中枢和外围两方面的冲动,向下发放引起各种情绪的外部表现;向上传送可使某种情绪处于激活状态,并经过大脑皮层的活动产生主体的体验。
前额叶皮层(prefrontal cortex)前额叶皮层主要通过背侧外部、腹内侧部和眶部来发挥不同的作用,存在情绪偏侧化效应,左侧与积极情绪有关,右侧与消极情绪有关。额叶皮质—边缘系统的联结对情绪的调节尤其重要,主要有两条相互独立而平行的通路:“额叶内侧—扣带回—海马”通路和“眶回—额叶—颞叶—杏仁核”通路(Etkin,Egner & Kalisch,2011)。
扣带回扣带回通过丘脑前核群接受许多皮质区的纤维传入,传入纤维可投射到海马、杏仁核、隔核、丘脑前核及前额叶皮质区等,投射到脑干的纤维可到达上丘脑、中脑中央灰质、蓝斑、中脑被盖等。通过海马和穹窿影响下丘脑,下丘脑则通过乳头丘脑束和前脑前核影响扣带回。Eisenberger,Lieberman和Williams(2003)指出前扣带回对负性情绪的评价起主要作用。前扣带回是扣带沟(cingulate sulcus)和胼胝体(corpus callosum)之间的皮层(Von dem Hagen et al.,2009),根据功能可以将其分为背侧前扣带回(dorsal anterior cingulate cortex,dACC)、腹侧前扣带回(ventral anterior cingulate cortex,vACC)。背侧前扣带回主要负责注意调节,vACC负责加工情绪的突显性(salient)、动机信息以及调节情绪的反应(Bush,Luu和Posner,2000)。
大脑皮层(cerebral cortex)人类的情绪多是在大脑皮层的控制和调节下产生的。对情绪的调节不是发生在大脑皮层的某一个区域,而是不同区域协同活动的结果(Fischl et al.,2004)。大脑两半球对情绪的控制和调节存在一定的差异(Davidson,1992)。Davidson采用脑电记录系统记录被试的脑电活动,让被试先看能唤起愉快情绪的视频,如,动物图片“小狗戏花”和“大猩猩洗澡”,接着看唤起厌恶的视频,如,三级伤残尸体和可怕的残肢等。脑电结果表明,愉快的影片使左半球的脑电活动加强,而厌恶的影片使右半球的电位活动加强。






本书评论