资讯和台词
肺部位于人体的胸腔上部。人每次吸入空气时,肺部会将其中的氧气提取出来,并将其传送至血液中;每次呼出空气时,肺部会将血液中的二氧化碳分离出来,通过呼气排出体外。
许多吸烟者患有“慢性阻塞性肺疾”或肺气肿。该病会损害肺部转换氧气和二氧化碳的能力,使人感到呼吸困难,阻碍氧气进入人体。肺气肿是西方国家中常见的致死疾病。

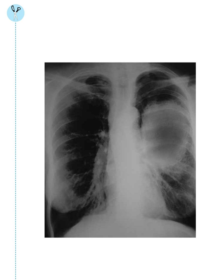
此外,香烟中含有一些有毒的化学物质,可能导致肺癌。医生使用X光检测病人是否患有肺癌。在X光片中,黑色的部分表示X光没有受到阻碍,白色的部分则表明X光遇到了一些障碍物,如致密组织或骨骼。
上一页是一张X光片,其中该病人左侧肺部患有癌症。此人60出头,这辈子吸烟成瘾,每天都抽很多支烟。他的肺部有大量的伤疤以及癌细胞,就是X光片上这些白色的组织。肺癌的后果是非常可怕的。比方说,癌细胞直径超过1英寸的患者,即使接受最有效的治疗,也只有不到一半的人能活过五年。像这个病人,根据他的X光片情况,也许他活不过一年。
你吸烟多久了?你是不是已经感到呼吸困难了?你是不是有一些健康问题?如果你继续吸烟,很可能几年后你的X光片就会和这位病人一样了。你对此感觉如何?想想看,这会给你自己以及你身边的人带来怎样的影响?
这是个不好的消息。但好在,你的未来还没有板上钉钉呢。你还有机会做出改变。为了让几年后那张X光片下面的名字不是你,你打算做些什么?






本书评论